진단사례

Lady U Surgery

Total 100건 1 페이지
  • 100
    284번째 유방암 진단사례 (2020년4월13일) 대략 6개월전부터 왼쪽 가슴에 단단한 멍울이 만져지기 시작했으나 별다른 의심없이 그냥 지내다가 시간이 지나면서 점점 커지기..
    작성자 레이디유 작성일 04-21 조회 36
  • 99
    319번째 갑상선암 진단사례 (2020년3월17일) 유방검진 및 지방종 수술위해 내원한 환자분으로 우연하게 같이 시행한 갑상선 초음파상 결절이 관찰되었던 환자분이셨습니다 &..
    작성자 레이디유 작성일 03-19 조회 13
  • 98
    318번째 갑상선암 진단사례 (2020년3월16일) 양쪽 팔에 생긴 다발성 피지낭종에 대해 수술받으러 내원한 환자분으로 우연하게 같이 시행한 갑상선 초음파상 결절이 관찰되었습..
    작성자 레이디유 작성일 03-19 조회 9
  • 97
    317번째 갑상선암 진단사례 (2020년3월12일) 출산한지 한달도 되지 않은 여성분으로 유선염 진료위해 저희 병원에 내원해 주셨습니다. 유방 초음파 검사후 무료로 봐드리는 ..
    작성자 레이디유 작성일 03-19 조회 7
  • 96
    316번째 갑상선암 진단사례 (2020년2월18일) 얼굴쪽에 생긴 피지낭종 수술을 위해 내원했던 환자로 갑상선암 가족력이 있어 우연하게 시행한 갑상선 초음파상 결절이 관찰되었..
    작성자 레이디유 작성일 03-04 조회 10
  • 95
    283번째 유방암 진단사례 (2020년2월27일) 일주일전에 우연히 오른쪽 가슴을 자가 검진하다 단단한 멍울을 발견하여 진료위해 내원한 환자분이셨습니다. 진..
    작성자 레이디유 작성일 03-04 조회 17
  • 94
    282번째 유방암 진단사례 (2020년2월6일) 3일전에 우연히 만져본 가슴에서 왼쪽 유방에 단단한 혹을 발견한후 진료위해 내원한 환자분이셨습니다. 진찰상..
    작성자 레이디유 작성일 02-12 조회 10
  • 93
    281번째 유방암 진단사례 (2020년2월6일) 유방에 별다른 이상 증상이 없는 상태로 타병원에서 정기적으로 검진을 잘 받는 환자분이셨습니다. 작년 10..
    작성자 레이디유 작성일 02-12 조회 9
  • 92
    280번째 유방암 진단사례 (2020년2월4일) 몇년전부터 왼쪽 가슴에 단단한 멍울이 생겼으나 그냥 지내다 시간이 지나면서 점점 커지기 시작하였고 통증도 같이 동반되어 진..
    작성자 레이디유 작성일 02-12 조회 13
  • 91
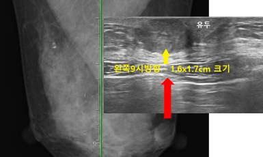
    279번째 유방암 진단사례 (2020년2월2일) 오래전부터 만져진 멍울과 유방통증으로 진료위해 내원한 환자분이셨습니다. 진찰상 왼쪽 유두옆에 겉으로 보았을..
    작성자 레이디유 작성일 02-12 조회 14
  • 90
    278번째 유방암 진단사례 (2020년1월21일) 왼쪽 유방에서 갑자기 만져진 멍울 증상으로 진료위해 내원한 환자분이셨습니다. 진찰상 왼쪽 유방의 위쪽에서 2cm 크기의..
    작성자 레이디유 작성일 02-12 조회 15
  • 89
    315번째 갑상선암 진단사례 (2020년1월29일) 유방통이 있어 유방검사위해 내원한 30대 여성환자로 본원에서 시행하는 무료 갑상선 초음파 이벤트로 우연히 검사한 갑상선초..
    작성자 레이디유 작성일 02-06 조회 8
  • 88
    314번째 갑상선암 진단사례 (2020년1월15일) 다른병원에서 우연히 시행한 갑상선 초음파상 왼쪽 갑상선에 결절이 관찰되어 조직검사 권유받고 본원에 내원한 환자분이셨습니다..
    작성자 레이디유 작성일 02-06 조회 5
  • 87
    277번째 유방암 진단사례 (2020년1월13일) 다른 산부인과병원에서 폐경증상을 완화하기 위해 호르몬제 복용을 권유받았던 환자로 유방암 검사위해 저희병원에 내원해주셨습니..
    작성자 레이디유 작성일 02-05 조회 11
  • 86
    276번째 유방암 진단사례 (2020년1월7일) 대략 2달전부터 오른쪽 가슴에 단단한 혹이 만져졌으나 생리주기때 가슴이 단단해지는 증상으로 생각하고 그냥 지내다 시간이 ..
    작성자 레이디유 작성일 02-04 조회 12
  • 85
    275번째 유방암 진단사례 (2020년1월7일) 일주일전에 왼쪽 유방에서 피부가 살짝 들어가 있는것을 발견하고 검사위해 내원한 환자분이셨습니다. 진찰상 왼쪽 유방의 하..
    작성자 레이디유 작성일 01-16 조회 11

검색

Contact Us

서울대입구역 1번 출구, 도보 1분

서울특별시 관악구 남부순환로 1832 오션빌딩 5층

진료시간 안내

평    일

AM 09:00 ~ PM 06:30

토 요 일

AM 09:00 ~ PM 02:00

점심시간

PM 01:00 ~ PM 02:00

※ 토요일은 점심시간 없이 진료합니다

※ 일요일, 공휴일 휴무

회원로그인