진단사례

Lady U Surgery

Total 100건 3 페이지
  • 68
    310번째 갑상선암 진단사례 (2019년8월30일) 목 앞쪽에 단단한 혹이 만져져 다른 병원에서 진료를 본후 갑상선 전문외과 권유받고 저희 병원에 내원한 환자분이셨습니다. ..
    작성자 레이디유 작성일 10-05 조회 7
  • 67
    261번째 유방암 진단사례 (2019년8월28일) 대략 10개월전에 오른쪽 유방에 작은 멍울이 만져져 집근처 병원에 방문하여 유방 초음파 검사를 받은후 지방종 같다는 소릴듣..
    작성자 레이디유 작성일 10-02 조회 9
  • 66
    309번째 갑상선암 진단사례 (2019년8월30일) 목에 단단한 멍울이 만져지고 지속적으로 원인모를 불편한 증상이 지속되어 진료위해 내원한 환자분이셨습니다. 진찰상 앞쪽 ..
    작성자 레이디유 작성일 09-24 조회 5
  • 65
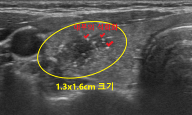
    260번째 유방암 진단사례 (2019년8월29일) 며칠전에 오른쪽 가슴을 우연히 만져보다가 단단한 혹이 발견되어 진료위해 내원한 환자분이셨습니다. 진찰상 오른쪽 유두 하부..
    작성자 레이디유 작성일 09-24 조회 7
  • 64
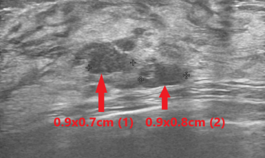
    259번째 유방암 진단사례 (2019년8월26일) 일주일전에 우연히 오른쪽 가슴에서 단단한 멍울이 만져져 진료위해 내원한 환자분이셨습니다. 진찰상 오른쪽 유방의 상외측에 ..
    작성자 레이디유 작성일 09-09 조회 7
  • 63
    308번째 갑상선암 진단사례 (2019년8월27일) 왼쪽 가슴이 아파서 유방 초음파 검사위해 내원한 환자분이셨습니다. 유방 초음파상에서는 양쪽에 양성으로 보이는 다발성 결절들..
    작성자 레이디유 작성일 08-28 조회 5
  • 62
    307번째 갑상선암 진단사례 (2019년8월14일) 왼쪽 유방통증이 있어 유방검사를 받기위해 내원해 주신 환자분이셨습니다. 검사를 위해 유방초음파를 받으셨는데 유방에서는 큰..
    작성자 레이디유 작성일 08-28 조회 6
  • 61
    258번째 유방암 진단사례 (2019년8월12일) 대략 8개월전부터 오른쪽 유두에서 피가 섞인 유즙이 나왔었는데 별다른 검사없이 그냥 지내다 최근들어 양도 많아지고 가슴에 ..
    작성자 레이디유 작성일 08-22 조회 6
  • 60
    257번째 유방암 진단사례 (2019년8월8일)  3일전 우연하게 오른쪽 유두에서 노란 유즙이 나오는 것을 확인한후 집근처 산부인과를 먼저 들린후 유방외과 진료 권유받..
    작성자 레이디유 작성일 08-13 조회 6
  • 59
    306번째 갑상선암 진단사례 (2019년7월4일) 갑상선과 관련된 특별한 증상은 없었는데 얼마전에 다른 병원에서 검사한 갑상선 초음파상 결절이 있다는 소릴 듣고 재검..
    작성자 레이디유 작성일 07-09 조회 6
  • 58
    305번째 갑상선암 진단사례 (2019년7월5일) 갑상선과 관련해서 특별한 증상이 없었던 환자로 유방 초음파 검사를 받으면서 우연하게 같이 시행한 갑상선 초음파상 결절이 관..
    작성자 레이디유 작성일 07-09 조회 4
  • 57
    256번째 유방암 진단사례 (2019년6월1일) 1년전부터 왼쪽 가슴에 멍울이 만져지고 통증도 있었으나 그냥 지내다 최근들어 증상이 점점 심해지는 양상보여 진료위해 저희 ..
    작성자 레이디유 작성일 06-28 조회 9
  • 56
    304번째 갑상선암 진단사례 (2019년6월7일) 최근들어 목이 불편하고 목에 멍울이 만져져 진료위해 내원해주신 환자분이셨습니다. 진찰상 앞쪽 목의 갑상선 ..
    작성자 레이디유 작성일 06-19 조회 7
  • 55
    255번째 유방암 진단사례 (2019년6월1일) 대략2주전부터 왼쪽 유두가 이유없이 아프고 불편해서 저희 병원에 내원해 주신 70대 여성 환자분이셨습니다. 진찰상 왼쪽 ..
    작성자 레이디유 작성일 06-19 조회 8
  • 54
    254번째 유방암 진단사례 (2019년6월7일) 대략 2~3년전부터 오른쪽 가슴에 단단한 혹이 만져지고 통증도 있었으나 대수롭지 않게 생각하고 그냥 지내다 몇개월전부터 오..
    작성자 레이디유 작성일 06-13 조회 10
  • 53
    253번째 유방암 진단사례 (2019년5월29일) 10일전에 우연히 오른쪽 가슴에 단단하게 만져지는 멍울을 발견한후 걱정이되어 인터넷 검색후에 저희 병원에 내원해 주신 환자..
    작성자 레이디유 작성일 06-07 조회 9

검색

Contact Us

서울대입구역 1번 출구, 도보 1분

서울특별시 관악구 남부순환로 1832 오션빌딩 5층

진료시간 안내

평    일

AM 09:00 ~ PM 06:30

토 요 일

AM 09:00 ~ PM 02:00

점심시간

PM 01:00 ~ PM 02:00

※ 토요일은 점심시간 없이 진료합니다

※ 일요일, 공휴일 휴무

회원로그인