진단사례

Lady U Surgery

Total 102건 4 페이지
  • 54
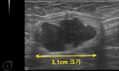
    254번째 유방암 진단사례 (2019년6월7일) 대략 2~3년전부터 오른쪽 가슴에 단단한 혹이 만져지고 통증도 있었으나 대수롭지 않게 생각하고 그냥 지내다 몇개월전부터 오..
    작성자 레이디유 작성일 06-13 조회 10
  • 53
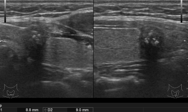
    253번째 유방암 진단사례 (2019년5월29일) 10일전에 우연히 오른쪽 가슴에 단단하게 만져지는 멍울을 발견한후 걱정이되어 인터넷 검색후에 저희 병원에 내원해 주신 환자..
    작성자 레이디유 작성일 06-07 조회 9
  • 52
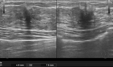
    252번째 유방암 진단사례 (2019년5월27일) 일주일전에 갑자기 오른쪽 가슴이 아파 만져보았더니 단단한 멍울이 만져져 인터넷 검색후에 저희 병원에 내원해주신 환자분이셨습..
    작성자 레이디유 작성일 05-30 조회 7
  • 51
    251번째 유방암 진단사례 (2019년4월9일) 일주일전에 우연하게 오른쪽 유방에 큰 멍울이 만져졌으며 또한 유두 옆쪽의 피부에 혹이 생기고 진물이 나와 동네에 있는 산부..
    작성자 레이디유 작성일 05-30 조회 4
  • 50
    303번째 갑상선암 진단사례 (2019년5월23일) 목 앞쪽에 단단한 혹이 만져지고 불편감이 있어 진료위해 내원해 주신 환자분이셨습니다. 진찰상 앞쪽 목, 즉 오른쪽 갑상선..
    작성자 레이디유 작성일 05-30 조회 6
  • 49
    302번째 갑상선암 진단사례 (2019년5월20일) 몇주전부터 목이 불편하고 삼킬때마다 통증이 있어 갑상선 관련 질환인지 확인하기 위해 저희 병원에 내원해 주신 환자분이셨습니..
    작성자 레이디유 작성일 05-23 조회 5
  • 48
    301번째 갑상선암 진단사례 (2019년4월8일) 갑상선과 관련된 특별한 증상없이 왼쪽 겨드랑이 통증을 주소로 내원해 주신 환자분이셨습니다. 유방 초음파상 ..
    작성자 레이디유 작성일 04-12 조회 6
  • 47
    250번째 유방암 진단사례 (2019년4월9일) 한달전부터 왼쪽 유방에 갑작스럽게 단단한 멍울이 잡혀 검사위해 내원한 환자분이셨습니다. 진찰했을때 촉진해 보지 않아도 ..
    작성자 레이디유 작성일 04-09 조회 7
  • 46
    300번째 갑상선암 진단사례 (2019년3월13일) 출산후 현재 수유중인 산모로 오른쪽 유방통증 및 멍울이 있어 검사위해 내원한 환자였습니다. 목을 포함한 갑상선에는 특별..
    작성자 레이디유 작성일 04-03 조회 7
  • 45
    249번째 유방암 진단사례 (2019년3월28일) 일주일전부터 오른쪽 유방에 멍울이 만져져 진료 위해 내원한 환자분이셨습니다. 환자분께서는 다른 병원에서 작년 7월경에 유..
    작성자 레이디유 작성일 04-03 조회 6
  • 44
    248번째 유방암 진단사례 (2019년3월27일) 양쪽 유방에 미세석회화 소견 및 다발성 결절들이 있어 수년전부터 다른 병원에서 지속적으로 정기 검사을 받으시다가 관악구 쪽..
    작성자 레이디유 작성일 04-03 조회 5
  • 43
    247번째 유방암 진단사례 (2019년3월9일) 한달전에 다른 병원에서 시행한 공단 유방 촬영상 오른쪽 유방의 12시 방향에 결절 소견이 관찰되어 유방 초음파 검사 권유받..
    작성자 레이디유 작성일 03-13 조회 11
  • 42
    246번째 유방암 진단사례 (2019년3월6일) 수개월전부터 오른쪽 가슴에 단단한 멍울이 만져졌으나 대수롭지 않게 생각하고 지내오시다가 가족이 발견한 후에 진료 권유받고 ..
    작성자 레이디유 작성일 03-13 조회 9
  • 41
    245번째 유방암 진단사례 (2019년2월16일) 유방에 특별한 증상이 없었으며 2019년 1월에 다른 병원에서 시행한 유방 촬영 검사상 양성 석회화 소견 및 치밀 유방 소..
    작성자 레이디유 작성일 03-05 조회 11
  • 40
    244번째 유방암 진단사례 (2019년2월14일) 수개월전부터 왼쪽 겨드랑이에 멍울이 만져져 내원한 환자분이셨습니다. 올해 1월에 다른 병원에서 검사한 공단..
    작성자 레이디유 작성일 03-05 조회 8
  • 39
    243번째 유방암 진단사례 (2019년2월9일) 내원 하루전에 우연히 만져본 가슴에서 단단한 덩어리가 발견되어 여기저기 알아보신후에 저희 병원에 내원해 주신 환자분이셨습니..
    작성자 레이디유 작성일 02-14 조회 10

검색

Contact Us

서울대입구역 1번 출구, 도보 1분

서울특별시 관악구 남부순환로 1832 오션빌딩 5층

진료시간 안내

평    일

AM 09:00 ~ PM 06:30

토 요 일

AM 09:00 ~ PM 02:00

점심시간

PM 01:00 ~ PM 02:00

※ 토요일은 점심시간 없이 진료합니다

※ 일요일, 공휴일 휴무

회원로그인