244번째 유방암 진단사례 (2019년2월14일)
페이지 정보

수개월전부터 왼쪽 겨드랑이에 멍울이 만져져 내원한 환자분이셨습니다.
올해 1월에 다른 병원에서 검사한 공단 유방 촬영상 왼쪽 겨드랑이에 3cm 크기의 결절 소견이 관찰되었다는 판독 결과를 가지고 오셨습니다.
진찰상 왼쪽 겨드랑이에 대략 3cm 크기의 단단한 멍울이 만져졌고 임파선이 커졌을 가능성도 있었지만 멍울 이외에 겨드랑이에 부유방도 있었기 때문에 부유방에 생긴 결절의 가능성도 생각했었습니다.
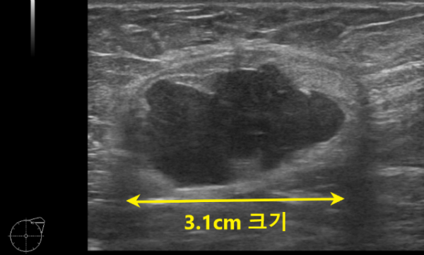
다른병원에서 시행한 유방 촬영 사진을 가져오시지 않아 바로 유방 초음파 검사를 시행하였습니다.
모양으로 보았을때 림프절 비대 소견은 아니었으며 예상했던 대로 부유방안에 생긴 병변으로 판단되었습니다.
혹의 크기와 모양으로 보았을때 악성의 가능성이 높아보여 환자분께 설명드린후 바로 총생검검사를 진행하였습니다.
빠른 결과를 위해 응급으로 조직검사를 의뢰하였으며 3일만에 결과를 확인할 수 있었습니다.
왼쪽 겨드랑이의 결절은 예상대로 침윤성 유방암 (Invasive ductal carcinoma)로 진단되었습니다.
환자분은 조기 치료를 위해 저희 병원과 협력병원으로 지정된 대학병원 유방외과로 바로 전원이 되셨습니다. 환자분의 빠른 쾌유를 바랍니다.
- 이전글245번째 유방암 진단사례 (2019년2월16일) 19.03.05
- 다음글243번째 유방암 진단사례 (2019년2월9일) 19.02.14


